Die Behandlung von Wirbelkörperbrüchen im Rhein-Neckar-Wirbelsäulenzentrum
Behandlung von Wirbelkörperbrüchen
Das Spektrum von Wirbelkörperbrüchen reicht von osteoporosebedingten bis hin zur kompletten Wirbelkörpertrümmerung mit Schäden von Nerven oder schlimmstenfalls des Rückenmarks (Querschnittlähmung). Aufgrund der Bandbreite der Verletzung bildet die klinische Untersuchung und Bildgebung (Röntgen/CT/MRT) den Grundstein zur Auswahl der bestmöglichen Therapie.
Zur Beurteilung des Schweregrades einer Verletzung und individuellen Therapieplanung wird die Bruchform analysiert und kategorisiert. Die gebräuchlichste ist die sog. „AO-Klassifikation“ für unfallbedingte Brüche. Die „OF-Klassifikation“ wird bei osteoporotisch bedingten Verletzungen angewandt. Hierbei wird der Entstehungsmechanismus mit einwirkenden Kräften (Druck-, Zug- oder Rotation), beteiligte Wirbelkörperabschnitte und deren Form als auch klinische Parameter wie Schmerzen oder Begleiterkrankungen in Betracht gezogen.
Je nach Höhe, Ausmaß und Art einer Verletzung kann diese durch abwartendes und kontrollierendes Verhalten (konservativ) therapiert werden. Sind jedoch tragende Wirbelkörperabschnitte verletzt (instabil), besteht die Gefahr einer Verschlechterung der Wirbelsäulenharmonie oder eine Schädigung des Rückenmarks. Dem Chirurgen stehen verschiedenste Operationsverfahren zur Wiederherstellung der Statik zur Verfügung. Diese reichen von der einfachen Zementierung der Wirbelkörper bis hin zum Wirbelkörperersatz.
Kontakt
Rhein-Neckar-Wirbelsäulenzentrum
Landhausstraße 25
69115 Heidelberg
Konservative (nicht operative) Behandlung
„Einfache“ Wirbelköperbrüche, z. B. bei Osteoporose können häufig konservativ behandelt werden. Die nicht operative Behandlung besteht zum einen aus einer zielgerichteten Schmerztherapie. Hierbei ist das Ziel, eine schmerzfreie oder zumindest schmerzarme Mobilisation zu erreichen.
Weiter werden in regelmäßigen Abständen Röntgenkontrollaufnahmen durchgeführt. Wenn bereits eine Osteoporose vorliegt, wird zusätzlich eine medikamentöse Therapie der Osteoporose eingeleitet, falls dies noch nicht erfolgt sein sollte.
Die Behandlung mit einem Korsett ist nur in speziellen Fällen notwendig. Wenn es unter der konservativen Therapie zu keiner ausreichenden Beschwerdebesserung oder gar Verschlechterung kommt, kann auch bei einfachen, stabilen Bruchformen eine Operation notwendig sein.
Kyphoplastie bei osteoporotischen Brüchen
Osteoporose ist eine systemische Erkrankung des Skeletts, welche zu einer Verringerung des Knochensalzgehaltes und somit zu einer Schwächung des Knochens führt. Wenn ein oder mehrere Knochenbrüche aufgrund der Osteoporose aufgetreten sind, spricht man von einer manifesten Osteoporose. Sie ist eine stumme Erkrankung, da sie erst beim Versagen des Knochens Symptome verursacht.
Bei der Kyphoplastie werden zwei Hohlnadeln in den betroffenen Wirbelkörper eingebracht. Durch diese Nadeln kann dann mithilfe eines kleinen, flüssigkeitsgefüllten Ballons der gebrochene Wirbelkörper aufgerichtet und im Anschluss der entstandene Hohlraum mit Zement befüllt werden.
Da es sich bei osteoporotischen Wirbelkörperbrüchen im Regelfall um sogenannte „stabile Brüche“ handelt, ist es nicht notwendig, über ein Stab-Schraubensystem (wie im Weiteren noch detaillierter beschrieben), den betroffenen Wirbelsäulenabschnitt zusätzlich zu stabilisieren.
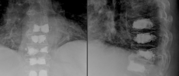
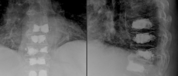
Kyphoplastie mehrerer Brustwirbelkörper bei Brüchen der Brustwirbelsäule (Multiples Myelom).
Operative Therapie von Wirbelkörperbrüchen
Für die operative Behandlung von Wirbelkörperbrüchen ist die Art, also die Klassifikation des Bruchs, maßgeblich für die Behandlungsstrategie. Es stehen verschiedene Operationsmethoden zur Verfügung, die in der Folge beschrieben sind:
Schrauben/Stab-System
Eine dorsale (vom Rücken kommend) Instrumentierung (vorübergehende Versteifung von Wirbelsäulenabschnitten) wird immer dann notwendig, wenn ein komplexerer oder instabiler Wirbelkörperbruch vorliegt. Sie kann zum einen zur endgültigen Stabilisierung eines Bruchs eingebracht werden, zum anderen auch als erste Maßnahme bei instabilen Wirbelbrüchen (dann meist als Notfalloperation).
Bei der dorsalen Instrumentierung wird in den/die Wirbelkörper ober- und unterhalb des gebrochenen Wirbels jeweils 2 (links und rechts) sogenannter Schrauben von hinten eingebracht. Diese Schrauben werden dann über ein Stabsystem miteinander verbunden. Dadurch wird die Belastung, welche auf den gebrochenen Wirbel einwirkt, überbrückt und dieser kann ausheilen. Grundsätzlich kann diese Operation konventionell, also „offen“ (mit einem großen Hautschnitt) oder minimalinvasiv, also mit mehreren kleinen Hautschnitten durchgeführt werden.
Die offene Methode wird seit Jahrzehnten durchgeführt und kann als „klassische OP-Methode“ angesehen werden. Der Nachteil bei einem großen Hautschnitt ist die damit verbundene größere Wundfläche. Das bedeutet folglich mehr Schmerzen durch die Operation und eine längere Wundheilungsdauer. Vorteil dieser Methode ist die Möglichkeit, auch schwere Wirbelsäulenverkrümmungen nachhaltig zu korrigieren.
Bei einer Vielzahl von Wirbelkörperbrüchen ist die offene Operationstechnik nicht notwendig, sodass diese Operation durch die Anlage von kleinen Hautschnitten (minimalinvasiv) durchgeführt werden kann - selbst wenn eine zusätzliche operative Erweiterung des Rückenmarkkanals (Dekompression) notwendig sein sollte. Dieser Technik ist es eigen, dass die ursprüngliche Beweglichkeit der Wirbelsäule nicht nachhaltig ausgeschaltet wird, sondern nach Wegnahme der Schrauben und Stäbe die Wirbelsäule in den ehemals überbrückten Bereichen wieder beweglich wird.
Hintere Stabilisierung eines Bruches des 12. Brustwirbelkörpers mit zementierten Schrauben und in minimalinvasiver Technik bei Osteoporose.
Wirbelkörperersatz
Der Wirbelkörperersatz kommt dann zum Einsatz, wenn instabile, oftmals aus mehreren Bruchstücken bestehende Wirbelkörperbrüche vorliegen und die Wirbelsäule nach vorne überkippen kann. Im Regelfall wird, wie bereits oben beschrieben, zunächst eine hintere Stabilisierung durchgeführt, um dann den zerstörten Wirbelkörper von der Seite her zu bergen. Hierbei wird ein Großteil des gebrochenen Wirbelkörpers entfernt und durch einen sog. „Cage“, einem künstlichen Wirbelkörper meist aus Titan oder hochwertigen Legierungen bestehend, ersetzt.
Ziel dieser Operation ist es, eine dauerhafte Festigkeit und knöcherne Verbindung zwischen dem ober- und unterhalb des gebrochenen Wirbels gelegenen Wirbeln zu erreichen, um somit eine belastungsstabile Wirbelsäule zu haben.
Hintere offene Stabilisierung durch ein Schrauben/Stab-System und Wirbelkörperersatz bei Bruch des 4. Lendenwirbelkörpers.

