Die Behandlung von Spondylodiszitis im Rhein-Neckar-Wirbelsäulenzentrum
Eine Spondylodiszitis (Wirbelkörperbandscheibenentzündung) ist eine Entzündung, welche zunächst die Bandscheiben befällt und sich anschließend auf die angrenzenden Wirbelkörper ausdehnt. Als Ursache für die Entzündung finden sich meistens Bakterien wie Staphylokokken (Staphylococcus aureus 55-90 %) oder Streptokokken. Tuberkulose, Salmonellen oder Darmbakterien (Escherichia coli) können ebenfalls eine Spondylodiszitis auslösen.
Wie häufig ist eine Spondylodiszitis?
Die Inzidenz (Auftreten der Neuerkrankungen pro Jahr) der spezifischen Spondylodiszitis wird mit ca. 1:250.000 beziffert. Die Wahrscheinlichkeit, nach Eingriffen an der Wirbelsäule (z. B. Bandscheibenoperation) eine Entzündung zu entwickeln, liegt bei 0,2–3,0 %. Ein großes Augenmerk liegt auch im Anstieg der weltweit beobachteten Tuberkulose.
Wie entsteht die Spondylodiszitis?
Über Wunden, Spritzen, Infekte der Atemwege, des Magen-/Darmtraktes und über die Nieren können Bakterien in den Blut- oder Lymphkreislauf übertreten. Im Bereich der Wirbelkörper können sich die Bakterien anschließend gut vermehren und es entsteht eine Entzündung. Wenn diese nicht rechtzeitig erkannt und behandelt wird, können die angrenzenden Wirbelkörper und Bandscheiben in ihrer Struktur und damit in ihrer Stabilität geschwächt oder schlimmstenfalls zerstört werden. Langzeittherapien mit entzündungshemmenden Medikamenten (z. B. Cortison), Alkoholmissbrauch, ein diagnostizierten Diabetes mellitus und vieles mehr können zudem das Fortschreiten der Spondylodiszitis begünstigen. Fast die Hälfte aller Entzündungen (50 %) spielen sich in der Lendenwirbelsäule, gefolgt von Brust- (35 %) und Halswirbelsäule (15 %) ab.
Symptome
Anhaltende Rückenschmerzen in Kombination mit körperlicher Schwäche, Unwohlsein, Fieber, Appetitlosigkeit, ungewolltem Gewichtsverlust, Ruhe-, Nacht- und Bewegungsschmerz der Wirbelsäule weisen den Weg in die Diagnose einer Infektion. Ein Arztbesuch ist dann unausweichlich. Unbehandelt zerstört die Infektion die Bandscheibe sowie den Knochen und kann sich auf die umgebenden Gefäße, Nerven (Rückenmarkskanal) und Muskeln ausbreiten und im schlimmsten Fall eine lebensgefährliche Blutvergiftung (Sepsis) auslösen.
Kontakt
Rhein-Neckar-Wirbelsäulenzentrum
Landhausstraße 25
69115 Heidelberg
Diagnostik
Rückenschmerzen können viele Ursachen haben und nicht in jedem Fall muss dafür eine Entzündung als Auslöser der Grund sein. Daher werden diese Schmerzen oftmals als „nicht spezifisch“ klassifiziert. Liegt jedoch der Verdacht einer Spondylodiszitis nahe, so ist man zur Diagnosesicherung auf eine apparative Diagnostik angewiesen. Hierzu zählen: Laboruntersuchungen, Nachweisversuche von Bakterien im Blut (Blutkulturen) sowie bildgebende Verfahren wie Röntgen, MRT und CT (Alternative zu MRT). Zur Verhinderung von Folgeschäden muss eine Herzultraschalluntersuchung (Echokardiografie) vorgenommen werden.
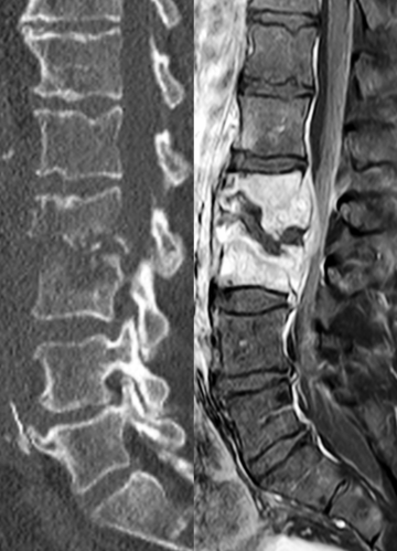
Auf den Bildern ist eine Wirbelkörperentzündung der Lendenwirbelkörper 2 und 3 zu sehen. Beim linken Bild zeigt das CT eine Zerstörung des Knochens und ein beginnendes „Ineinandersinken“ der Wirbelkörper. Das MRT zeigt auf der rechten Seite eine deutliche Signaländerung der Wirbelkörper (heller) als Ausdruck eines entzündlichen Prozesses. Zusätzlich wird ein Abszess im Rückenmarkskanal sichtbar, welcher den Rückenmarkskanal einengt und zu Ausfallerscheinungen führt (beginnende Querschnittsymptomatik).
Therapie
Die Therapie der Spondylodiszitis richtet sich nach dem Ausmaß der bereits eingetretenen Wirbelsäulenschädigung und wird stets von einer Antibiotikatherapie (Kombinationstherapie aus mehreren Antibiotika für mind. 6 Wochen) begleitet. Bei unkomplizierten Fällen (ohne größere Schmerzen, Zerstörung der angrenzenden Wirbelkörper) kann die Spondylodiszits durch die Ruhigstellung des betroffenen Bereiches in einer Orthese, Laborfolgeuntersuchungen oder durch eine CT-gesteuerte Drainageneinlage therapiert und zur Ausheilung gebracht werden. Sollte es bereits zu einer größeren Zerstörung von Wirbelkörpern oder gar Ausdehnung auf Nerven (Rückenmarkskanal) gekommen sein, ist eine Operation notwendig, in der das entzündete Gewebe entfernt wird und die angrenzenden Wirbelkörper mit einem Schrauben-/Stabsystem in Ruhigstellung gebracht werden.

